新冠肺炎(COVID-19)是一种急性疾病,严重时可导致大量肺泡损伤和进行性呼吸衰竭。目前,科学家们已经在一定程度上揭示了新冠病毒(SARS-CoV-2)的构造、潜在治疗方案以及传播途径,但同样重要的是,要了解该病毒如何破坏我们的身体,从而“对症下药”。
2月16日,在征得家属同意后,武汉金银潭医院完成了两例COVID-19患者的遗体解剖工作,目前解剖病例已被送检,结果将在10天(2月26日)后获得,这对于探索COVID-19患者临床的病理改变、疾病机制具有重要意义。
两天后,中国人民解放军总医院第五医学中心王福生院士团队在国际著名医学期刊《The Lancet Respiratory Medicine》发布了一例COVID-19患者的遗体病理报告,率先为人们了解这一疾病的发病机理提供了重要参考。

https://doi.org/10.1016/S2213-2600(20)30076-X
50岁男性患者发病14天后死亡
这名患者为50岁男性,1月初去过武汉旅行,1月14日(患病第1天)出现轻微畏寒和干咳的症状,并且1月21日(患病第8天)因出现发烧,发冷,咳嗽,疲劳和呼吸急促的症状而前往医院就诊,胸部X光片显示其两肺均出现多个斑片状阴影,实时逆转录PCR(reverse real-time PCR)检测证实该患者患有COVID-19。

根据初次出现疾病的天数和入院后的天数得出的病程时间表
住院期间,这名患者接受了补充氧气治疗、干扰素α-2b和洛匹那韦+利托那韦的抗病毒治疗,同时接受注射莫西沙星以预防继发感染。后来,患者呼吸急促加重并出现低氧血症,于是接受静脉注射甲泼尼龙,治疗后体温从39℃降至36.4℃,但咳嗽,呼吸困难和乏力的症状未得到改善。随着病情的加重,这名患有幽闭恐惧症的患者接受了高流量鼻导管(HFNC)氧气疗法,但是情况并没有好转,最终于北京时间1月27日下午18:31因抢救无效死亡。
与SARS和MERS相似,SARS-CoV-2攻击肺部
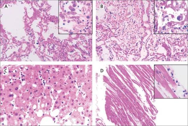
在研究中,研究人员从患者的肺、肝和心脏组织中提取了活检样本。胸部X光片显示肺炎发展迅速,其中右肺可见肺细胞脱落和透明膜形成,左肺组织显示肺水肿伴透明膜形成,表明患者患有急性呼吸窘迫综合征(ARDS),这与SARS和MERS患者的病理特征非常相似。此外,肝组织中显示中度微血管脂肪变性和轻度小叶活动,不过尚无确凿证据证明SARS-CoV-2感染或药物导致了肝损伤。心脏组织中没有发现明显的组织学变化,说明SARS-CoV-2感染可能不会直接损害心脏。

患者的右肺组织(A)、左肺组织(B)、肝组织(C)和心脏组织(D)的病理特征
尽管《柳叶刀》2月7日在线发表的一篇述评文章提到,临床证据不支持糖皮质激素用于治疗COVID-19,但是从这项最新研究中观察到的肺水肿和透明膜形成的病理表征来看,研究人员仍然建议应在适当的时候考虑对重症患者使用皮质类固醇和呼吸机治疗。
淋巴细胞数或与疾病严重程度有关
研究人员对外周血液采用流式细胞术分析发现,血液中的CD4和CD8 T细胞数量显著减少,但是状态却过度活化,表现为Th17增加和CD8 T细胞的高细胞毒性,这在一定程度上说明患者免疫系统严重受损。研究人员提出,淋巴细胞减少是COVID-19患者的常见特征,这可能是与疾病严重程度和死亡率相关的关键因素。
关于这一点,2月12日预印本网站medRxiv 在线发布的一项由首都医科大学附属北京地坛医院的研究团队带来的报告提到,中性粒细胞与淋巴细胞比率(NLR)是COVID-19危重症的早期识别因素,当患者年龄≥50岁且NLR≥3.13时病情发展为危重症的可能性更高。
2003年SARS暴发后,对患者的病理解剖为当时的人们了解SARS病因、发病机制、治疗以及防护措施做出了重要贡献。这份新报告同样为人们了解COVID-19的发病机制提供了重要见解,并且将有助于临床医生及时为类似的重症患者制定治疗策略,从而挽救更多患者的生命。
